سرشناسه: موسوی، سید شهریار، 1385 - ، گردآورنده
عنوان و نام پدید آور: انواع سلول ها / گردآورندگان: سید شهریار موسوی، سید محمّد سالار عاملی؛ ویراستار ادبی: راضیه جوهریان؛ ویراستار علمی: مهسا صالحیان، سمیه مظفری، سروش نکوئی.
مشخصات نشر: اصفهان: انتشارات امیر فدک، 1397.
مشخصات ظاهری: 70 ص.: مصور.
شابک: 9-49-6521-622-978: 350000 ریال
وضعیت فهرست نویسی: فیپا
یادداشت: کتابنامه.
موضوع: یاخته ها
موضوع: Cells
موضوع: یاخته شناسی
موضوع: Cytology
شناسه افزوده: عاملی، سید محمد سالار، 1386 - ، گردآورنده
شناسه افزوده: صالحیان، مهسا، 1361 - ، ویراستار
شناسه افزوده: مظفری، سمیه، 1365 - ، ویراستار
شناسه افزوده: نوری نکویی، سروش، 1365 - ، ویراستار
رده بندی کنگره: 1397 8 الف 9 م / 2 / QH581
رده بندی دیویی: 574/87
شماره کتابشناسی ملی: 5548344
خیراندیش دیجیتالی: کانون فرهنگی اندیشه اصفهان
ویراستار کتاب: آتنا وطن خواه
ص: 1
بِسْمِ اَللَّهِ اَلرَّحْمَنِ اَلرَّحِيمِ
ص: 2
گردآورندگان:
سید شهریار موسوی دانش آموز پایه ی ششم دبستان دکتر محمد شفیعی
سید محمد سالار عاملی دانش آموز پایه ی ششم دبستان دکتر محمد شفیعی
ص: 3
انتشارات امیر فدک: اصفهان - خیابان هشت بهشت غربی نبش تقاطع ملک ساختمان فدک
تلفن: 32730360-031 - همراه: 09133135694 کد پستی: 43151-81546
Fadak.mansori@gmail.com
انواع سلول ها
سید شهریار موسوی 85 - سید محمد سالار عاملی 86
آماده سازی: انتشارات امیر فدک
مدیر مسئول: دکترمحمد رضا محمد شفیعی
مدیر تولید: سید محمد رضا منصوری تهرانی
مدیر فنی: صالحیان - مظفری
ویراستار ادبی: جوهریان
ویراستار علمی: صالحیان - مظفری - سروش نکوئی
صفحه آرا: عابدی - کاویانی
طراح جلد: کاویانی
●لیتوگرافی: طاها ●چاپ: ملت ●صحافی: ملت
●چاپ اول: 1397 ●تعداد: 1000 ●قیمت: 40000 تومان
©حق چاپ: 1397، انتشارات امیر فدک
شابک: 9-49-6521-622-978 ISBN: 978-622-6521-49-9
هر گونه استفاده از مطالب این کتاب اعم از بازنویسی، خلاصه سازی، نقل مطالب آموزشی، برداشت به صورت دستنویس، کپی، تکثیر و هر گونه چاپ سنتی و دیجیتال، استفاده به صورت کتاب الکترونیکی، لوح فشرده، قراردادن مطالب بر روی اینترنت و وب سایت ها و هر گونه شبکه ی کامپیوتری دیگر و به طور کل هر گونه استفاده ی اشخاص حقیقی و حقوقی در جهت منافع مادی و معنوی خود، بدون اجازه ی کتبی ناشر ممنوع و بر اساس بند 5 ماده ی 23 قانون حمایت از حقوق مؤلفان و مصنفان و قوانین مربوط به جرایم رایانه ای کشور قابل پیگیری در محاکم قضایی است.
ص: 4
تقدیم به: پدر و مادر عزیز و مهربانم که در سختی ها و دشواری های زندگی همواره یاوری دلسوز و فداکار و پشتیبانی محکم و مطمئن برایم بوده اند.
سید شهریار موسوی
تقدیم به: پدر و مادرم که از نگاهشان صلابت، از رفتارشان محبت و از صبرشان ایستادگی را آموختم.
سید محمد سالار عاملی
ص: 5
در مرکز تحقیقات و فنآوری های نوین دمش سپاهان (دکتر محمد شفیعی) آموزش پژوهش محور را نهادینه کردیم، چرا که ایمان داریم گسترش مرز های علم و فنآوری در جهت پیشرفت کشور در گرو کوشش پژوهشگران است و پژوهشگر با ذهن پرسشگرش از لایه های ابر گرفته آسمان دانش می گذرد، تا به افق های جدیدی دست یابد. روح پژوهشگر، پویا و جوینده است و پوسته های جهل را شکافته، به قنات جاری علم دست می یابد و تا چشمه ی جوشان آن را بر کویر تشنه خویش جاری نسازد، آرام نمی گیرد. در مراکز پژوهش محور دکتر محمد شفیعی اعتقاد داریم؛ پژوهش هزینه نیست، سرمایه است. در اقدامات پژوهشی این مراکز پژوهشی، پژوهشگران کوچک ما تلاش می کنند وضعیت نامطلوب را به وضعیت مطلوب تغییر دهند و یاد می گیرند درست توجه کنند و بدان چه که آموخته اند عمل کنند.
دانش آموزان پژوهنده ی ما می فهمند که هیچ گاه شکست در مسیر کسب دانش وجود ندارد، لذا از ناملایمات علمی و بن بست های مقطعی هراسی نداشته و راه غلبه بر سد های مجازی پیش روی کسب دانش و ارتقای علمی را خوب یاد بگیرند. علاوه بر این اصول و مبنای کار گروهی را فرا گرفته تا بتوانند براساس خرد جمعی کار کنند. با بیش از 25 سال سابقه آموزشی – پژوهشی و مدیریتی دریافته ایم که پژوهش و تحقیق مثل حروف الفبا باید از سال های نخست آموزش شروع شده و نهادینه شود، و این امر مهم را در طرح آموزش پژوهش محور انجام داده و به نتایج شگرفی دست یافته ایم و با علم به این که می دانستیم دانش آموزان در مقاطع پایین تر توانایی های بزرگی دارند و در عمل تجربه نمودیم و نهادینه کردیم و مصمم هستیم که این امر مهم در کل کشور اجرایی شود. انشاا...
محمد رضا محمد شفیعی
مدیر مجتمع فرهنگی آموزشی تحقیقاتی دکتر محمد شفیعی
ص: 6
فصل اول ... 8
مقدمه ... 9
اجزای سلول ... 10
نظریه سلولی ... 10
اعمال اصلی سلول ... 11
گروه بندی موجودات زنده ... 12
اجزای سلول ... 13
فصل دوم ... 26
انواع سلول ها ... 27
فصل سوم ... 43
بیماری هایی که سلول را درگیر می کند ... 44
بیماری های خود ایمنی ... 44
لوسمی (سرطان خون) ... 54
دیابت ... 55
بیماری های قلبی ... 56
پارکینسون ... 56
آلزایمر ... 57
کاربرد سلول های بنیادی در سلول درمانی ... 57
منابع ... 62
ص: 7

ص: 8
زیست شناسان و دانشمندان قدیم به این نتیجه رسیده اند که جانوران و گیاهان با همه پیچیدگی که درسازمان شان وجود دارد، تنها از تعداد کمی از اجزای ماکروسکوپی که مرتبا تکرار شده، ساخته شده اند. اجزای ماکروسکوپی اجزایی هستند که با چشم غیر مسلح دیده می شوند. منظور این پژوهشگران از اجزای ساختمان های ماکروسکوپی یک جاندار مثل ریشه ها، برگ ها و گل ها بوده است، که در گیاهان مختلف مشترک اند و یا بخش و اندام هایی بوده است که در جانداران مشترک می باشد. قرن ها بعد با اختراع عدسی های بزرگ کننده، جهان میکروسکوپی کشف شد. روبرت هوک فیزیکدان انگلیسی با بررسی میکروسکوپی چوب پنبه، ساختمان سلولی را کشف کرد. هوک مشاهده کرد که این بافت از حفره های متعدد مجاور هم ساخته شده است، که آن سلول ها را اتاقک کوچک می نامند. تا مدت ها تصور می شد که سلول ها حجره های خالی حفر شده در یک ماده زمینه ای هستند. درحدود همان زمانی که روبرت هوک در لندن مطالعات خود را ادامه داد یک نفر هلندی به نام آنتی ون لیوون هوک، با میکروسکوپ ساده خود موجودات تک سلول را به صورت زنده در قطرات باران و خون مشاهده کرد و آن ها را به نام جانوران کوچک نامید و به این ترتیب وی اولین کسی بود که سلول زنده را مشاهده کرد.

ص: 9

هر سلول از اجزای مختلفی تشکیل شده است که به طور عمده سیتوپلاسم، غشای سیتوپلاسمی و هسته هستند، که هر کدام وظیفه ی خاصی برعهده دارند.
چون سلول قادر است همه ی اعمال یک موجود زنده را به طور کامل انجام دهد، بنابراین به عنوان یک واحد حیات محسوب می گردد، ولی از آن جا که همه ی بافت ها و ارگان های بدن از اجتماع سلول ها تشکیل شده، به طور مرسوم سلول را واحد ساختمان بدن نامیده اند. یکی از مفاهیم اصلی و اساسی زیست شناسی نظریه سلولی است، که بنابراین تمام موجودات زنده (جانوران - گیاهان - تک سلولی ها) از سلول و فراورده های فعالیت سلول به وجود آمده اند. این نظریه باپژوهش های متعددی که در قرن نوزدهم توسط دوتروشه (در سال 1824) و تورپن (در سال 1826) انجام شد شکل گرفت بلافاصله پس از طرح آن مشخص شد که هر سلول از تقسیم سلولی قبل از خود به وجود می آید. پس از زمانی نشان داده شد که شباهت های اساسی در فعالیت های سوخت و سازی همه سلول ها وجود دارد و فعالیت جاندار روی هم رفته نتیجه مجمع فعالیت ها و اعمال متقابل واحد های سلولی سازنده آن است.
می توان گفت چنانچه بدن موجودات را به یک ساختمان تشبیه کنیم، سلول ها به تعبیری آجر های تشکیل دهنده ی بنا هستند.
ص: 10

1) واحد بنیادی زندگی: سلول کوچکترین بخشی است که یک موجود زنده می تواند تا آن حد کوچک شود و در عین حال مشخصات زندگی را دارا باشد، که از آن جمله می توان به تک سلولی ها اشاره کرد.
2) حفاظت و حمایت: سلول ها، مولکول های مختلفی را تولید و ترشح می کنند که از بدن حفاظت و حمایت می کند. برای مثال، سلول های استخوانی توسط مواد معدنی احاطه شده اند که بافت استخوانی را سخت می سازند، تا به این ترتیب از مغز و سایر ارگان ها حفاظت کنند و وزن بدن را تحمل نمایند.
3) حرکت: همه حرکات بدن به دلیل مولکول هایی است که در داخل سلول های خاصی نظیر سلول های عضلانی قرار گرفته اند.
4) ارتباط: سلول سیگنال های شیمیایی و الکتریکی را تولید و دریافت می کنند که به آن ها امکان برقراری ارتباط با یکدیگر را می دهد. برای مثال سلول های عصبی با یکدیگر و با سلول های عضلانی ارتباط برقرار کرده و باعث می شوند آن ها منقبض شوند.
5) متابولیسم سلولی و آزاد شدن انرژی: واکنش های شیمیایی که در داخل سلول ها رخ می دهد را مجموعا تحت عنوان متابولیسم سلولی می خوانند. انرژی آزاد شده در نتیجه ی متابولیسم برای فعالیت های سلولی استفاده می شود. از جمله ی این فعالیت ها می توان از ساخت مولکول های جدید، انقباض عضلانی و تولید گرما که به حفظ دمای بدن کمک می کند، نام برد.
6) توارث: هر سلول محتوی نسخه ای از اطلاعات ژنتیک فرد است، سلول های اختصاصی مسئول انتقال اطلاعات ژنتیک به نسل بعدی می باشند.
ص: 11
موجوداتی هستند که بدنشان از یک سلول ساخته شده است، بنابراین با چشم غیر مسلح قابل
مشاهده نیستند. تمام وظایف این نوع از جانداران برعهده ی همین یک سلول است. مانند انواع باکتری ها، برخی از قارچ ها، جلبک ها و جانداران ساده ی تک سلولی (مژک داران، تاژک داران)


موجوداتی هستند که بدنشان بسته به جثه، از سلول های بیشتری تشکیل شده است و به علت زیاد بودن تعداد سلول ها، اندام ها و دستگاه های متفاوتی ایجاد شده است که هر کدام وظیفه ی خاصی را بر عهده دارند. برخی از انواع جلبک ها، قارچ ها، حیوانات، گیاهان و انسان ها پر سلولی هستند.
ص: 12
این غشا لایه ی بسیار نازک و قابل انعطافی به قطر تنها 5، 7 تا 10 نانومتر است.
1) یکی از وظایف غشا حفظ شکل مشخص سلول و جلوگیری از خروج محتویات آن است. این عمل برای پرده ی به این نازکی بسیار عجیب و ناباورانه است. اگر غشای سلولی در محلی پاره شود، محتویات سلول از آن محل خارج می شود و سلول می میرد.


ص: 13

وارد کردن مواد لازم برای سلول و جلوگیری از خروج آن ها
1) جلوگیری از خروج مواد لازم برای سلول و وارد کردن موادی که سلول لازم دارد. این غشا مانند یک نگهبان جلوی عبور مواد ممنوع الخروج یا ممنوع الورود را می گیرد و تنها مواد لازم را وارد سلول می کند. موادی که وارد سلول می شوند دو گروه هستند: یک گروه به طور عادی وارد سلول می شوند، به طوری که مولکول هایی که مقدارشان در خارج از سلول بیشتر است به داخل آن وارد می شوند. این گروه از مولکول ها از دریچه هایی که در غشا وجود دارند عبور می کنند. گروه دیگر نحوه ورودشان بسیار جالب است، زیرا ممکن است مقدار آن ها در داخل سلول چندین برابر بیرون باشد و ظاهرا باید از آن خارج شوند، ولی در جدار غشای سلولی موادی وجود دارد که آن ها را به داخل می برد. این مواد شیمیایی، مانند مورچه هایی که دانه های گندم و سایر مواد غذایی را می گیرند و به داخل لانه خود می برند، به موادی که باید به داخل سلول برده شود می چسبند و سپس همراه آن ها از غشای سلولی عبور می کنند، ولی قبل از رسیدن به سیتوپلاسم، ماده ی مورد نظر را رها کرده و آن را با فشار وارد سیتوپلاسم می کنند و خود فورا برای آوردن طعمه جدید به طرف خارج غشا می روند. مواد شیمیایی دیگری نیز وجود دارند که همین عمل را در مورد خارج کردن موادی که سلول لازم ندارند، انجام می دهند.
دیواره سلولی ساختاری است که در همه سلول های گیاهی و بیش تر باکتری ها و آغازیان وجود دارد و وجه تمایز سلول های گیاهی و جانوری است.
ص: 14

دیواره سلولی محتویات سلول را در بر گرفته، به تمام مواد اجازه ورود و خروج می دهد و ضخامتی بیش از غشا دارد.
1) حفظ شکل و استحکام گیاه
2) کنترل تبادل مواد بین سلول های گیاه
3) جلوگیری از ورود عوامل بیماری زا
4) جلوگیری از ترکیدن سلول گیاهی در صورت جذب آب زیاد
دیواره سلول گیاهی از سه لایه تیغه میانی، دیواره نخستین و دیواره پسین تشکیل می شود.

ص: 15
دیواره سلول گیاهی متناسب با نقش و طول عمر سلول دچار تغییراتی می شود که عبارتند از:
1) چوبی شدن
2) کانی شدن
3) ژله ای شدن
4) کوتینی و چوب پنبه ای شدن
سیتوپلاسم شبیه مایع غلیظی به نظر می رسد که حاوی مواد مختلف از جمله آنزیم هاست.
آنزیم ها از جنس پروتئین هایی بوده که درون سلول ساخته می شوند و وظیفه ی آن ها اداره کردن تغییرات شیمیایی داخل سلول است. آنزیم ها انجام یک واکنش شیمیایی را تسریع می کنند، بدون این که خود در آن شرکت کنند و بنابراین مصرف نمی شوند؛ لذا می توانند بار ها و بار ها مورد استفاده قرار گیرند.
علاوه بر آنزیم ها در سیتوپلاسم ساختار های بسیار کوچکی به نام ارگانل یا اندامک وجود دارد که هر کدام وظیفه مشخصی دارند که شامل ساختن سیتوپلاسم نو، تولید موادی که در خارج از سلول باید مصرف شوند و یا تجزیه ی مواد برای تولید انرژی، می باشد.
ضمنا دانه های نشاسته یا قطره های چربی که در واقع غذا های ذخیره ای تلقی می شوند، ممکن است در اجزای موجود در سیتوپلاسم یافت شوند.
اجزا و اندامک های داخل سیتوپلاسم
ساختمان های داخل سیتوپلاسمی یا همان اندامک ها به دقت نامگذاری شده اند. اکثر این ساختمان ها دارای غشاء هستند. هسته، شبکه ی آندوپلاسمی، جسم گلژی، میتوکندری، لیزوزوم و پراکسی زوم از جمله این اندامک های غشادار هستند.
بسیاری از فعالیت های شیمیایی سلول ها (یعنی فعالیت هایی که در مجموع به عنوان متابولیسم سلولی نامیده می شوند) در فضای پر از مایع و سیالی رخ می دهد که درون
ص: 16
اندامک های غشادار را پر نموده اند. اما برخی از اندامک های داخل سلولی غشا ندارند. مانند سانتریول ها، ریبوزوم ها


شبکۀ آندوپلاسمی در واقع شبکه ای از غشاهاست که با هم در ارتباط هستند. دو نوع شبکۀ آندوپلاسمی وجود دارد؛ شبکه آندوپلاسمی زبر و شبکه آندوپلاسمی صاف. شبکه آندوپلاسمی زبر به این دلیل زبر خوانده می شود، که در تصویر میکروسکوپی به صورت کیسه هایی روی یکدیگر دیده می شود که در سطح آن دانه هایی وجود دارد. وظایف این اندامک به شرح زیر است:
1) تولید فسفو لیپید ها و استروئید های مورد نیاز برای غشاء
2) تنظیم میزان قند خون: در داخل سلول های جگر آنزیم هایی وجود دارد که باعث تنظیم قند خون می شود.
ص: 17
3) سم زدایی: در داخل شبکه آندوپلاسمی صاف جگر آنزیم هایی وجود دارد که مواد شیمیایی مضر و دارو ها را تجزیه می کند.
4) ذخیره یون کلسیم: یون کلسیم برای انقباض ماهیچه ها ضروری می باشد.

شبکۀ آندوپلاسمی صاف در واقع فاقد ریبوزوم روی غشای پلاسمایی خود می باشد.شبکه آندوپلاسمی صاف در زیر میکروسکوپ به صورت لوله های متصل به یکدیگر دیده می شود. شبکه آندوپلاسمی صاف ادامه شبکه آندوپلاسمی زبر می باشد. وظایف این اندامک به شرح زیر می باشد:
1) غشاءسازی که شامل تولید فسفو لیپید ها، استروئید ها و پروتئین های مورد نیاز برای تشکیل غشا می باشد.
2) تولید پروتئین ترشحی مثل پادتن ها، که وظیفه ی دفاع از بدن را بر عهده دارند.
جسم گلژی هم درست مانند شبکه آندوپلاسمی یک ساختار غشادار است. این ساختار وظیفه تغییر و بسته بندی پروتئین ها به منظور ترشح آن ها به خارج از سلول را بر عهده دارد. پروتئین های ساخته شده در شبکه آندوپلاسمی وارد کیسه هایی می شوند که توانایی اتصال به غشای پلاسمایی را دارند. همچنین وظیفه ی جسم گلژی تولید برخی از اندامک های دیگر است. این اندامک همچنین در تشکیل، رشد و گسترش غشای پلاسمایی نیز دخالت می کند.
ص: 18
غشای لیزوزوم ضخیم تر از غشای میتوکندری است. قابلیت تلفیق با دیگر غشا ها را دارد، که این به علت زیاد بودن چربی های غشایی است. لیزوزوم ها را به عنوان نارنجک درون سلولی هم می شناسند، چرا که دارای انواع آنزیم هایی هستند که اگر به خارج از فضای لیزوزوم ترشح شوند باعث تخریب سلول خواهند شد. سلول های جانوری، گیاهی و حتی موجودات تک سلولی نیز دارای این اندامک هستند. ولی باکتری ها فاقد آن هستند. از جمله وظایف لیزوزوم می توان به موارد زیر اشاره کرد:
1) گوارش درون سلولی و برون سلولی
2) دخالت در تمایز سلولی
3) از بین بردن اندامک های پیر
4) دخالت در پدیده ی خودکشی سلولی: هنگامی که به سلولی نیاز نباشد و یا آن سلول دچار اشکالی شده باشد، هسته دستور مرگ آن سلول را می دهد و به اصطلاح سلول خودکشی می کند.
5) مبارزه با فقر غذایی
6) دخالت در ایمنی سلول ها
7) جمع مواد سمی از جمله جیوه در خود

واژه میتوکندری از دو بخش میتو به معنای رشته و کندری به معنای دانه تشکیل شده است، چون اغلب به صورت رشته ای یا دانه ای در سلول های یوکاریوتی مشاهده
ص: 19
می شود. این اندامک از دو غشای داخلی و خارجی تشکیل شده است. غشای داخلی میتوکندری بسیار چین خورده است، که این چین خوردگی ها باعث افزایش سطح میتوکندری و در نتیجه بهبود عملکرد آن می شوند.
مهم ترین نقش و وظیفه میتوکندری در سلول تنفس سلولی است. این اندامک وظیفه تبدیل انرژی مواد غذایی به نوعی انرژی مورد نیاز سلول را دارا است. میتوکندری این عمل را با فرایند های خاصی انجام می دهد و انرژی مورد نیاز سلول را از مواد غذایی فراهم می کند. البته میتوکندری وظایف دیگری نیز دارد، ولی مهم ترین وظیفه آن همین عمل تنفس سلولی است.


ص: 20
پلاستید ها اصطلاحی برای اندامک هایی بوده که شامل رنگ دانه می باشند. رنگ قرمز، نارنجی و سبز در گیاهان به خاطر وجود پلاستید های متفاوت است. در یک سلول گیاهی، کلروپلاست ها برجسته ترین شکل پلاستید ها می باشند، که حاوی رنگ دانه ی سبز می باشند.
توانایی یک سلول گیاهی برای فتوسنتز، به حضور همین کلروپلاست ها بستگی دارد. فتوسنتز فرایندی است که طی آن، گیاهان سبز برای خود غذا می سازند. گیاهان با عمل فتوسنتز، به طور غیر مستقیم، غذای سایر جانوران و همچنین انسان را تهیه می کنند. در حقیقت غذایی که می خوریم و هوایی که تنفس می کنیم، نتیجه ی همین فرایند است. گیاهان به کمک رنگ دانه های سبز موجود در برگ شان، انرژی خورشید را جذب می کنند. سپس با استفاده از این انرژی، آب و املاح موجود در خاک و دی اکسید کربن هوا را برای ساختن موادی مانند قند، نشاسته و پروتئین با هم ترکیب می کنند. گیاهان سبز، تولید کننده ی اولیه مواد غذایی در کره ی زمین هستند تمام جانوران به طور مستقیم گیاهان را می خورند و بعضی دیگر، از جانوارن گیاه خوار تغذیه می کنند. طی عمل فتوسنتز که تنها در روشنایی روز انجام می شود، اکسیژن لازم برای تنفس انسان و سایر موجودات آزاد می شود.

ص: 21
پراکسی زوم های کوچکی هستند که تقریبا در تمامی سلول ها یافت می شوند. پراکسی زوم ها کیسه های پر از آنزیم هستند و در فرآیند های زیستی گوناگونی مانند فتوسنتز در گیاهان دارای نقش هستند. داخل این اندامک آنزیمی وجود دارد که یک ماده ی بسیار سمی را به آب و اکسیژن تبدیل می کند، تا به سلول آسیبی نرساند. این ماده ی سمی پراکسید هیدروژن نام دارد و توسط واکنش های درون سلولی، به طور ناخواسته ایجاد می شود.
پراکسی زوم ها برای حیات سلول ضروری هستند. به طور مثال، بیمارانی که با پراکسیزوم های دارای نقص ژنتیکی به دنیا می آیند اغلب عمر کوتاه تری نسبت به سایرین دارند. درضمن، دانه های روغنی آن دسته از گیاهان زراعی که پراکسی زوم های آسیب دیده دارند توانایی جوانه زدن را از دست می دهند و در فوتوسنتز ناکارآمد می شوند.


سانتریول ها به صورت دو ساختمان میله ای کوتاه و عمود بر هم در کنار هسته سلول قرار دارند. هر سانتریول، استوانه ای است به قطر 2 میکرون و به طول 5 میکرون که دیواره ی آن از 9 سری لوله ی پروتئینی سه تایی تشکیل شده است. ارگانل هایی که
ص: 22
تاکنون مورد بحث قرار گرفتند، همگی به وسیله غشا محصور شده اند، ولی سانتریول اندامکی بدون غشا است که در تقسیم سلولی نقش مهمی دارد.
ریبوزوم اندامکی بدون غشا است که وظیفه ی ساخت پروتئین را بر عهده دارد. این اندامک دو زیر واحد بزرگ و کوچک دارد که در هنگام ساخت پروتئین به یکدیگر متصل می شوند.

الف) ریبوزم های آزاد سیتوپلاسمی: در باکتری ها، ریبوزم های موجود در سیتوپلاسم سبک تر و کوچک تر از ریبوزوم های سیتوپلاسمی دیگر موجودات هستند.
ب) ریبوزوم های چسبیده به غشای شبکه آندوپلاسمی دانه دار: همان طور که در طرح شبکه آندوپلاسمی ذکر شد، روی شبکه آندوپلاسمی خشن ریبوزوم قرار دارد. در این یاخته ها نسبت ریبوزم های آزاد سیتوپلاسمی به ریبوزم های چسبیده به غشای شبکه بر حسب شرایط یاخته تغییر می کند و هر چه تولید پروتئین های ترشحی و پروتئین های ساختمانی بیشتر باشد، نسبت ریبوزوم های چسبیده به غشای شبکه نیز بیش تر می شود.
در سلول های ترشحی که آنزیم های گوناگون را ترشح می کنند، تا 90 درصد ریبوزوم ها به شبکه آندوپلاسمی متصل هستند.
ج) ریبوزوم های موجود در اندامک هایی مثل میتوکندری و کلروپلاست، معمولا سبک تر و کوچک تر از ریبوزوم های سیتوپلاسمی یاخته هستند.
ص: 23
هسته ساختمانی است گرد یا بیضوی به ابعاد 5 تا 10 میکرون. همه سلول های بدن به جز گویچه های قرمز حاوی هسته می باشند:
1- سلول های دارای یک هسته: اغلب سلول ها
2- سلول های دارای دو هسته: مثل سلول های کبدی
3- سلول های دارای هسته های متعدد: مثل سلول های عضله مخطط
موقعیت هسته در هر سلول بستگی به شکل سلول دارد. هسته همه فعالیت های حیاتی سلول از قبیل ساخت پروتئین، تقسیم، تمایز و رشد سلولی را کنترل می کند. و از نظر ساختمانی از سه قسمت غشای هسته، ماده ی وراثتی و هستک تشکیل شده است. هسته دو غشا دارد. ماده ی وراثتی، همان تجمع DNA است، که اطلاعات ژنتیکی ما در این ماده ی وراثتی ذخیره شده است. نوع اطلاعات وراثتی درون سلول های ما است که تعیین می کند خصوصیات اخلاقی، رنگ چشم، رنگ پوست، جنس مو، بلندی قد در ما چگونه باشد. ما تمام این اطلاعات وراثتی را از DNA پدر و مادر خود به ارث می بریم. هستک یک اندامک درون هسته ای و بدون غشا در شیره هسته می باشد. شیره ی هسته مایعی است که آنزیم ها و مواد مختلف مورد نیاز هسته در آن وجود دارد. تعداد معمول هستک یک یا دو عدد در هسته هر سلول است، اما گاهی چند عدد و حتی در برخی از سلول های خاص، تعداد زیادی هستک وجود دارد. هستک ها اغلب کروی شکل و به صورت ذرات متراکم هستند. وظیفه ی هستک ها ساخت ریبوزوم ها است.

ص: 24
هسته ی هر سلول در واقع نقش مدیریت تغییرات شیمیایی که درون سیتوپلاسم رخ می دهد را برعهده دارد. از دیگر وظایف هسته کنترل تقسیم سلولی است. در واقع سلول بدون هسته قادر به تولید مثل نیست.
هر سلول برای تولید مثل می بایست به دو سلول دیگر تقسیم شود و این تقسیم تنها در مناطق رشد صورت می پذیرد. از نمونه های مهم رشد می توان به دو سر استخوان ها و بشره ی پوست در جانوران و انتهای ریشه ها و جوانه ها در گیاهان اشاره کرد.
هر سلول تقسیم شده و دو سلول جدید پدید می آورد. دو سلول حاصل نیز ممکن است روند تقسیم را ادامه داده و سلول های جدیدی را پدید آورند.

اما معمولا یکی از دو سلول رشد می کند و به منظور انجام کار ویژه ای شکل و ساختارش تغییر می یابد.
به عبارت بهتر، این سلول در حال رشد تخصصی می شود و با این اتفاق قابلیت تقسیم بیش تر را از دست می دهد. به چنین سلولی، سلول تمایز یافته می گویند.
ص: 25


ص: 26
هسته با توجه به مواد شیمیایی که درون خود دارد، تعیین می کند که سلول از چه نوعی است. مثلا سلول خونی، یا مربوط به بافت کبد است.
صد ها نوع مختلف از سلول ها در بدن وجود دارد و ساختار یک سلول کاملا برای نقشی که انجام می دهد مناسب است. به عنوان مثال، سلول های دستگاه گوارش از نظر ساختاری و عملکردی با سلول های سیستم اسکلتی متفاوت هستند. همچنین سلول های ماهیچه ای و سلول های عصبی ممکن است بسیار دراز باشند. برخی سلول ها مژک دارهستند و برخی بسیار کوچک و انعطاف پذیر، مثل سلول های خونی. این تفاوت ها مهم نیستند چرا که سلول های بدن به طور مستقیم یا غیر مستقیم به یکدیگر وابسته هستند تا بدن عملکرد خود را به عنوان یک واحد انجام دهد. در زیر نمونه هایی از انواع سلول های بدن ذکر می شود.
سلول های بنیادی تولید کننده ی سلول های جدید هستند. وقتی که سلول های بنیادی تقسیم می شوند، می توانند سلول هایی مانند خودشان تولید کنند و یا می توانند سلول های دیگری از نوع دیگر تولید کنند. برای مثال سلول های بنیادی پوست می توانند سلول های بنیادی پوست بیشتری بسازند، یا می توانند سلول های مختلف دیگری در پوست بسازند که کار مخصوص به خودشان را دارند.
اهمیت سلول های بنیادی
وقتی که ما زخمی یا بیمار می شویم، سلول هایمان هم صدمه می بینند یا از بین می روند. زمانی که این اتفاق می افتد، سلول های بنیادی فعال می شوند. این سلول ها مسئول تعمیر کردن بافت های صدمه دیده و جایگزین کردن سلول هایی هستند که به طور نرمال می میرند. این گونه است که سلول های بنیادی ما را سلامت نگاه می دارند و باعث جلوگیری از پیری زودرس ما می شوند. سلول های بنیادی مثل ارتش پزشکان میکروسکوپی ما هستند.
ص: 27

سلول های بنیادی به اشکال مختلف هستند. دانشمندان معتقدند که هر عضو داخلی بدن سلول های بنیادی خودشان را دارند. برای مثال می توان از سلول های خون نام برد که از سلول های بنیادی خون ساخته شده است. با این حال سلول های بنیادی در ابتدایی ترین مراحل رشد انسانی نمایان هستند و هنگامی که دانشمندان این سلول ها تکیه کردند، آن ها را سلول های بنیادی جنینی نامیدند. دلیل این که دانشمندان در مورد سلول های بنیادی جنینی هیجان زده هستند این است، که سلول های بنیادی جنینی در زمان رشد جنینی می توانند هر عضو یا بافتی را بسازند. به این معنی است که سلول های بنیادی جنینی، بر عکس سلول های بنیادی بالغ می توانند تبدیل به صد ها نوع دیگر از سلول های بدن شوند. برای مثال، که سلول های بنیادی خون تنها می تواند سلول خونی بسازند، سلول های بنیادی جنینی می تواند خون، استخوان، پوست، مغز و غیره را بسازند. علاوه بر این، سلول های بنیادی این طور برنامه ریزی شده اند، که بافت و حتی اعضا را بسازند در صورتی که سلول های بنیادی بالغ نمی تواند این عمل را انجام دهند. این به این معنی است که سلول های بنیادی جنینی استعداد خیلی بیشتری برای درمان اعضای بیمار را دارند.
همه ی سلول های بنیادی بدون در نظر گرفتن منشا، دارای سه ویژگی کلی هستند که آن ها را از سایر سلول ها متمایز می کند:
ص: 28
1) آن ها قادر به تقسیم و بازسازی برای مدت های طولانی هستند.
2 ) سلول های اختصاصی نیستند.
3) می توانند به سلول های خاصی تمایز یابند.
بر اساس توان تمایزی و برگشت پذیری سلول های بنیادی را می توان به سه بخش زیر تقسیم کرد:
1) پر توان (Totipotent)

این دسته قادر است همه ی سلول ها (سلول های فرد و سلول های جفت) را بسازد که این ویژگی آن ها را برای درمان سلول ها، ژن ها و همچنین مهندسی پیوند بافت پیوند و جایگزینی سلول های بیمار، ایده آل می کند. به این معنی است که ارزش درمانی سلول های بنیادی پر توان بسیار زیاد است. با یادگیری در مورد روند تقسیم، می توانیم به روند رشد بیماری ها غلبه کرده و سپس راه هایی برای جلوگیری از تولید و تقسیم سلول های بیمار ارائه دهیم.
ص: 29
2) سلول های بنیادی همه توان (Pluripotent)

یکی دیگر از انواع سلول بنیادی هستند که می توانند بیشتر یا همه ی سلول های فرد را بسازند. مثلا سلول بنیادی جنینی تحت شرایط خاص می تواند یک فرد را بسازد، اما قادر به ایجاد جفت نیست.
به سلول هایی که از گناد های جنینی (fetus) به دست می آیند سلول های زاینده جنینی گفته می شود، که این سلول ها نیز جز دسته ی همه توان می باشند. تک تک این سلول ها توانایی ایجاد کلنی را دارند و با تمایز سه لایه ی جنینی را تشکیل می دهند.
3) سلول های بنیادی چند توان (Multipotent)
همانند سایر سلول های بنیادی ویژگی های اصلی را دارند، اما تعداد محدود تری از سلول ها را ایجاد می کنند و خودشان نیز از تعداد کمتری نسبت به سایرین برخوردار هستند. نمونه هایی از سلول های بنیادی چند توان عبارت هستند از سلول هایی که در مغز بوده و باعث ایجاد سلول های عصبی مختلف و سلول های نوروگلیا (سلول های پشتیبان دستگاه عصبی) می شوند، مغز استخوان همچنین حاوی سلول های بنیادی چند توان است که باعث ایجاد انواع سلول های خون (گلبول) می شود.
ص: 30
وجود سلول های خونی از این رو برای حیات انسان ضروری هستند، کار های مختلفی از نقل و انتقال اکسیژن در بدن گرفته، تا مبارزه با عفونت را انجام می دهند. سه نوع اصلی سلول های خونی عبارت هستند از سلول های قرمز خون، سلول های سفید خون و پلاکت ها. سلول های قرمز خون گروه خونی را تعیین می کنند و همچنین مسئول نقل و انتقال اکسیژن به سلول ها هستند. سلول های سفید خون سلول های سیستم ایمنی بدن هستند که عوامل بیماری زا را از بین می برند و ایمنی ایجاد می کنند. پلاکت ها به لخته شدن خون کمک می کنند و جلوی از دست رفتن بیش از حد خون، به دلیل شکستگی یا آسیب دیدگی رگ های خونی را می گیرند.


سلول های چربی، جزء اصلی تشکیل دهنده بافت چربی هستند.این سلول ها حاوی قطرات چربی ذخیره شده هستند که می تواند برای انرژی زایی مورد استفاده قرار
ص: 31
گیرد. این چربی ذخیره شده باعث متورم و گرد شدن سلول های چربی می شود، که در صورت مصرف شدن این چربی ذخیره، انرژی این سلول ها کوچک می شوند. سلول های چربی وظیفه غدد درون ریز را نیز انجام می دهند چرا که هورمون هایی تولید می کنند که سوخت و ساز هورمون های جنسی، تنظیم فشار خون، حساسیت به انسولین، ذخیره سازی و استفاده از چربی، لخته شدن خون و پیام رسانی سلولی را تحت تاثیر قرار می دهند.



ص: 32
پوست چند لایه دارد که یکی از این لایه ها از سلول های مرده تشکیل شده است. پوست از ساختار های داخلی بدن در مقابل آسیب ها محافظت می کند، از کم آبی بدن جلوگیری می کند، به صورت مانعی در مقابل میکروب ها عمل می کند، چربی را ذخیره می کند و انواعی از ویتامین ها و هورمون ها را تولید می کند.
سلول های اندوتلیال
سلول های اندوتلیال، لایه داخلی سیستم قلبی عروقی و ساختار رگ های لنفاوی را تشکیل می دهند. این سلول ها لایه ی داخلی رگ های خونی، عروق لنفاوی و اندام ها، از جمله مغز، ریه ها، پوست و قلب را شکل می دهند. سلول های اندوتلیال مسئول ایجاد رگ ها و یا عروق خونی جدید هستند. آن ها همچنین حرکت مولکول های درشت، گاز ها و مایعات را بین خون و بافت های اطراف تنظیم می کنند و به تنظیم فشار خون کمک می کنند.

مشخصات و اعمال یک سلول عصبی:
یک سلول عصبی که به آن نورون نیز گفته می شود، وظیفه دریافت و پاسخ به محرک های مختلف را دارد. اما این سلول خود از چندین قسمت تشکیل شده است که در ذیل مشاهده می کنید:
ص: 33

1) جسم سلولی: مرکز متابولیک سلول می باشد و شامل هسته است.
2) هسته: هر سلول عصبی دارای یک هسته است که در جسم سلولی قرار دارد.
3) دندریت: قسمتی از سلول عصبی که کار ورود اطلاعات به داخل سلول را دارد بر عهده آن است.
4) اکسون: به عنوان خارج کننده اطلاعات از جسم سلولی محسوب می شوند. به این صورت که اطلاعات به طور سیگنال های عصبی از جسم سلولی در طول آکسون حرکت می کنند و اطلاعات خود را به انتهای آکسون می رسانند. طول اکسون می تواند تا یک متر نیز باشد.
5) انتهای آکسون: به قسمت انتهایی آکسون گفته می شود که دارای ویزیکول هایی است که در آن ها نوروترانسمیتر های مختلف وجود دارد. نوروترانسمیتر ها موادی هستند که موقعی که پتانسیل عمل به سلول عصبی می رسد آزاد می شوند، که در ادامه بیشتر به آن ها می پردازیم.
محل تبادل اطلاعات از آکسون یک نورون به دندریت نورون دیگر سیناپس نامیده می شود. به خاطر داشته باشید که تبادل اطلاعات سلول های عصبی به هم از طریق این قسمت ها است. در سیناپس پیام الکتریکی تبدیل به پیام شیمیایی (نوروترانسمیتر ها) می شود. این نوروترانسمیتر ها به شکاف سیناپسی (فاصله کوچک بین دندریت و آکسون) ریخته می شوند و به دندریت سلول مجاور می رسد و این
ص: 34
انتقال ادامه پیدا می کند.

وقتی نورون توسط یک محرک تحریک می شود این پیام توسط دندریت ها که به صورت شاخه شاخه هستند دریافت می شود. این پیام توسط دندریت به جسم سلولی مخابره می شود. هسته پاسخ مناسب را به اکسون ها می دهد. این پاسخ به صورت یک پالس الکتریکی است که توسط کانال های سدیم و پتاسیم ایجاد می شود (پمپ سدیم) و به انتهای اکسون می رسد. همان طور که گفته شد در انتهای آکسونوزیکول ها قرار دارد که درون آن ها نوروترانسمیتر ها قرار دارد. به طور خلاصه پالس الکتریکی سبب باز شدن این وزیکول ها و رها شدن این نوروتراسمیتر ها در فضای سیناپسی می شود و نورانرسمیتر های آزاد شده با توجه به ماهیت شان مهاری یا تحریکی می باشند.
میلین
به پوشش دور سلول های عصبی که به عنوان تسریع کننده عمل می کنند گفته می شود. سلول های میلینی جز سلول های گلیال دسته بندی می شوند. سلول های سازنده میلین در سیستم عصبی مرکزی توسط الیگودندروسیت ها و در سیستم عصبی محیطی، توسط سلول های شوان ساخته می شوند. در بی مهرگان این پوشش میلینی
ص: 35
وجود ندارد. در بیماری MS سیستم ایمنی این پوشش را عامل تهاجم تصور کرده و به آن حمله می کند.

گره رانویه
فضا های به پهنای یک میکرومتر که بین سلول های میلین در طول آکسون وجود دارد که پالس های الکتریکی از این گره ها می جهند که میزان سرعت را 120 متر بر ثانیه افزایش می دهد.

سرطان نتیجه به وجود آمدن ویژگی های غیر طبیعی در سلول های طبیعی است، به طوری که سلول های طبیعی به شکل بدون کنترل شروع به تقسیم می کنند و به جاهای دیگر گسترش می یابند. ایجاد سلول های سرطانی می تواند بر اثر جهش ایجاد شود. جهش ها بر اثر عواملی مانند مواد شیمیایی، اشعه، نور ماورای بنفش،
ص: 36
اشتباهات در تکرار کروموزوم ها و یا عفونت ویروسی رخ می دهند. سلول های سرطانی حساسیت شان را به پیام های ضد رشد از دست می دهند، به سرعت تکثیر می شوند و توانایی شان در انجام مرگ سلولی برنامه ریزی شده را نیز از دست می دهند.
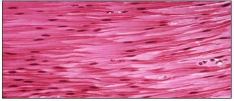
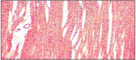
ماهیچه ها به سه دسته تقسیم می شوند:
1) ماهیچه های مخطط یا اسکلتی یا پیکری یا ارادی: سلول های این ماهیچه ها به اراده ما حرکت می کنند و سلول های آن ها در زیر میکروسکوپ، خط خطی به نظر می رسند. مثل ماهیچه های بازو، فک


2) ماهیچه های صاف یا غیر ارادی: سلول های دوکی شکلی هستند که به صورت غیر ارادی عمل می کنند، مثل ماهیچه های معده، روده، دیواره مثانه، ماهیچه انتهای مو
ص: 37
3) سلول های ماهیچه قلب: سلول های منشعب دارد و غیر ارادی است.


سلول های مخروطی: گیرنده های مخروطی در نور زیاد فعال شده و پرتو های نور را به پیام عصبی تبدیل می کنند. مهم ترین عملکرد آن ها تشخیص رنگ و تفکیک جزئیات اجسام است.
گیرنده های استوانه ای در برابر نور کم تحریک می شوند و پیام عصبی تولید می کنند. این گیرنده ها به ما کمک می کنند تا اجسام را به صورت سیاه و سفید
ص: 38
ببینیم.

پوست دارای گیرنده های درد، دما و مکانیکی می باشد.
در بین این ها گیرنده های درد دیرتر از بقیه و در مراحل آخر تحریک می شوند و تنها در صورتی تحریک می شوند، که احتمال آسیب رسیدن به بافت ها وجود داشته باشد، اما تعداد گیرنده های درد در پوست بیشتر از تعداد گیرنده های دیگر است. درد احساس بسیار مهمی است و ما را از وجود خطر آگاه می کند.
لمس، ارتعاش، کشش و فشار را حس می کند. گیرنده های مکانیکی علاوه بر این که در سطح پوست وجود دارند، در جاهای دیگری نیز وجود دارند از جمله در دیواره معده که ما را از وجود غذا آگاه می کنند یا در دیواره روده ی بزرگ که ما را از وجود مدفوع در روده آگاه می سازند و همچنین در دیواره رگ ها که نسبت به فشار خون حساس هستند.
ص: 39

شامل گیرنده های گرما و گیرنده های سرما می شود. این گیرنده ها باعث تشخیص دمای محیط می شوند.

زبان با هزاران برآمدگی کوچک، که برای چشم غیر مسلح قابل مشاهده است، به نام پاپیلا پوشیده شده است. درون هر پاپیلا بین 2000 تا 5000 جوانه طعم دار وجود دارد، که در پشت و جلو زبان قرار دارد. مابقی در سقف، دو طرف و پشت دهان و در گلو قرار دارند. هر جوانه شامل 50 تا 100 سلول گیرنده ی طعم است.
ص: 40

سلول هایی هستند که در سقف بینی قرار دارند و با مولکول های بو مخلوط می شوند.
سلول های استخوانی در بین ماده ی زمینه ای سختی از جنس کلسیم قرار گرفته اند. سه نوع سلول استخوانی داریم که هر کدام وظیفه ی خاصی را بر عهده دارند.
سلول های ستاره ای شکلی هستند که توسط زوائد سیتوپلاسمی خود با سلول های دیگر در ارتباط می باشند. این سلول ها هنگام ایجاد ضایعه و آسیب به استخوان تقسیم می شوند و در نتیجه استخوان ترمیم خواهند شد.
سلول های چند ضلعی هستند که به آن ها سلول سازنده نیز می گویند زیرا ماده ی زمینه ای استخوان را می سازند.
کار این سلول ها برعکس کار استئوبلاست ها است. یعنی ماده ی زمینه ای را تجزیه می کنند. به همین دلیل به آن ها سلول های مخرب نیز گفته می شود. استئوکلاست ها در واقع نقش قالب گیری استخوان را بر عهده دارند.
ص: 41

ص: 42

ص: 43
سلول واحد اصلی و اساسی حیات، همانند کیسه ای است، که حاوی پروتئین ها، اسید های چرب،کربوهیدرات ها و ماده ی وراثت یا همان DNA می باشد و قابلیت رشد، تکثیر و همانند سازی در ویژگی های مهم سلول های زنده است. ساختار ژنتیکی هر سلول سرعت رشد، تقسیم و زمان مرگ آن را تعیین می کند، در حالت طبیعی، جایگزینی سلول های فرسوده با سلول های جوان، از یک برنامه منظم تبعیت می کنند و فرایند رشد و تجدید سلولی به طور ثابت در بدن اتفاق می افتد. سرطان نوعی بیماری است که در آن سلول ها توانایی تقسیم و رشد عادی خود را از دست می دهند و این موضوع منجر به تسخیر، تخریب و فاسد شدن بافت های سالم می شود. از اجتماع این سلول های سرطانی و تخریب سلول های بافت های سالم توده ای به نام تومور ایجاد می شود. به سلول های انباشته شده، غده یا تومور می گویند (به تومور، نئوپلاسم هم گفته می شود). که ممکن است به شکل یک دست مشت شده یا یک نارنگی در بیاید. این نوع تومور معمولاً خوش خیم است و می توان آن را با عمل جراحی خارج کرد. نوع دیگر تومور شبیه به دست باز شماست. این نوع تومور، بدخیم و خطرناک است و به آن سرطان می گویند. قبل از کشف بیماری سرطان واژه آن وجود داشته است (واژه سرطان به معنی خرچنگ است) و به یکی از برج های دوازده گانه منطقه ی البروج، سرطان می گفتند. چون ستارگان این برج خرچنگ مانند بودند. به دلیل شباهت میان این شکل و تومور های بدخیم، این بیماری سرطان نامیده شد. برخی از اشکال سرطان خاصیت تهاجمی پیدا کرده و به سایر بافت های بدن، عمدتا از طریق خون و لنف، سرایت می کنند و تومور های جدیدی را ایجاد می کنند.
امروزه بسیاری از بیماری های مزمن و صعب العلاج در گروه بیماری های خود ایمنی طبقه بندی می شود. این بیماری ها بر اثر حمله سلول های ایمنی یک فرد به اعضا
ص: 44
و جوارح خودش، ایجاد می شود. سلول های ایمنی وظیفه دفاع از سلول های بدن را به عهده دارد و با حمله به مهاجمان آن ها را نابود می کند، اما در شرایط خاص سلول های ایمنی به دلایلی که هنوز کاملا شناخته شده نیست به جای سلول های خارجی، سلول های خود بدن را مورد تهاجم قرار می دهد. به این ترتیب یکی از اندام ها یا گروهی از سلول های بدن مورد تخریب قرار می گیرد.


تاکنون بیش از 80 نوع مختلف از بیماری های خود ایمنی شناخته شده است. در این جا 14 مورد از رایج ترین آن ها را بررسی می کنیم.
هورمون انسولین در لوزالمعده ساخته می شود و به تنظیم سطح قند خون کمک می کند. در دیابت نوع 1، سیستم ایمنی به سلول های سازنده ی انسولین در لوزالمعده حمله و آن ها را نابود می کند. بالابودن قند خون موجب آسیب به رگ های خونی و همچنین اندام هایی مثل قلب، کلیه ها، چشم و اعصاب می شود.

ص: 45

در این بیماری مفصل های بدن مورد حمله ی سیستم ایمنی قرار می گیرند. این حمله باعث بروز قرمزی، گرما، درد و سفتی در مفصل ها می شود. بر خلاف ورم مفاصل که با بالا رفتن سن پدیدار می شود، احتمال ابتلا به روماتیسم مفصلی از سی سالگی به بعد وجود دارد.
معمولا سلول های پوستی رشد عادی دارند و هنگامی که سلول جدیدی تولید می شود، سلول های قبلی به سطح پوست آمده و از بدن دفع می شوند. پسوریازیس موجب تسریع رشد سلول های پوست می شود، در این حالت، سلول های اضافی روی هم انباشته شده و باعث قرمزی و زبر شدن پوست می شوند که به شکل پوسته پوسته یا پلاک پوستی دیده می شوند.

ص: 46
حدود 30 درصد از افرادی که پسوریازیس دارند، به آرتریت پسوریاتیک نیز مبتلا می شوند. از علائم آرتریت پسوریاتیک می توان به التهاب، سفتی و درد در مفاصل اشاره کرد.
ام اس یا تصلب بافت چند گانه، نوعی بیماری است که به غلاف های میلین که سلول های عصبی را پوشش می دهند و وظیفه ی محافظت از آن ها را دارند، آسیب می رساند. معیوب بودن غلاف های میلین باعث اختلال در ارسال پیام میان مغز و بدن می شود. این آسیب دیدگی می تواند باعث بروز نشانه هایی مثل بی حسی، ضعف، مشکل در تعادل و سختی در راه رفتن شود. این بیماری در شکل های مختلفی ظاهر می شود که در سطوح مختلفی پیشرفت می کند. حدود 50 درصد از مبتلایان به ام اس پس از گذشت 16 سال از مبتلا شدن به این بیماری، برای راه رفتن به کمک احتیاج خواهند داشت.

ص: 47

اگر چه پزشکان قرن 19 لوپوس را به خاطر دانه هایی که روی پوست ایجاد می کند، به عنوان یک بیماری پوستی توصیف کردند، اما در حقیقت اندام های دیگری از جمله مفاصل، کلیه ها، مغز و قلب نیز تحت تأثیر لوپوس قرار می گیرند. درد مفصل، خستگی و ضایعه های پوستی از شایع ترین نشانه های این بیماری هستند.
بیماری التهابی روده اصطلاحی است که برای توصیف شرایطی که باعث ایجاد التهاب در جدار روده می شود، به کار گرفته شده است. هر گونه از بیماری های التهابی روده به بخش متفاوتی از دستگاه گوارش آسیب می رسانند.
بیماری کرون می تواند باعث سوزش در هر بخشی از دستگاه گوارش (از دهان گرفته تا مقعد) شود.
کولیت زخمی تنها جداره ی روده بزرگ، شامل پس روده (کولون) و راست روده (رکتوم) را درگیر می کند.
این بیماری روی غدد فوق کلیوی (آدرنال)، که وظیفه ی تولید هورمون های کورتیزول و آلدوسترون را برعهده دارد، تأثیر می گذارد. پایین بودن سطح این
ص: 48
هورمون ها می تواند به روش ذخیره و استفاده بدن از کربوهیدرات ها و شکر اثر بگذارد. داشتن ضعف، خستگی، کاهش وزن و پایین بودن قند خون از جمله نشانه های این بیماری است.


این بیماری غده ی تیروئید، در گردن را مورد حمله قرار می دهد و باعث تولید بیش از حد هورمون ها می شود. هورمون های تیروئید مسئول کنترل انرژی و متابولیسم بدن هستند. داشتن مقدار بیش از حد این هورمون ها، فعالیت های بدن را تشدید می کند و باعث ایجاد نشانه هایی مثل برافروختگی، افزایش ضربان قلب، عدم تحمل گرما و کاهش وزن می شود. از نشانه های رایج بیماری گریوز بیرونزدگی چشم ها است، که با نام اگزوفتالمی شناخته می شود. در حدود 50 درصد از مبتلایان به گریوز، بیرون زدگی چشم ها نیز مشاهده می شود.

ص: 49

این بیماری به مفاصل و همچنین غده هایی که مسئول مرطوب و روان نگه داشتن چشم ها و دهان هستند، آسیب می رساند. از علائم مشخص سندروم شوگرن می توان به درد مفصل، خشکی چشم و خشکی دهان، اشاره کرد.
در این بیماری، تولید هورمون تیروئید آهسته می شود و به اصطلاح کم کاری تیروئید به وجود می آید. بالا رفتن وزن، حساسیت نسبت به سرما، خستگی، ریزش مو و ملتهب شدن غده ی تیروئید (گواتر) از نشانه های بالینی تیروئیدیت هاشیموتو است.

میاستنی گراویس یا ضعف وخیم عضلانی، نوعی فلج ماهیچه ای است، که مغز
ص: 50
دیگر نمی تواند کنترل ماهیچه ها را به درستی انجام بدهد. زمانی که این عصب ها دچار اختلال شوند، سیگنال هایی که از مغز برای هدایت عضلات فرستاده می شوند، کار کرد لازم را نخواهند داشت. یکی از شایع ترین علائم آن ضعف عضلات است، که با انجام فعالیت های بدنی بد تر و با استراحت کردن کمی بهتر می شود. در این بیماری اغلب عضله هایی که کنترل بلع و حرکات صورت را برعهده دارند، درگیر می شوند.

التهاب رگ زمانی رخ می دهد که سیستم ایمنی به عروق خونی حمله می کند. التهابی که در اثر این حمله به وجود می آید، باعث انسداد رگ ها و کم شدن جریان فشار خون می شود.
ص: 51
این بیماری بر روی پروتئینی به نام فاکتور داخلی اثر می گذارد، که به روده ها برای جذب ویتامین B12 از غذا کمک می کند.
بدون وجود این ویتامین، بدن قادر به ساختن گلبول قرمز به اندازه کافی نخواهد بود. کم خونی پرنیشیوز، بیشتر در بزرگسالان
سن بالا شایع است. به طور عمومی این بیماری بر 1 درصد از مردم اثر دارد، اما حدود 2 درصد از افراد بالای 60 سال، در معرض ابتلا به این بیماری قرار دارند.

کسانی که مبتلا به بیماری سلیاک هستند، نمی توانند از غذا های حاوی گلوتن استفاده کنند. گلوتن نوعی پروتئین است که در گندم، جو، چاودار و دیگر غلات یافت می شود. وقتی گلوتن وارد روده شود، سیستم ایمنی به آن حمله می کند و باعث سوزش و التهاب می شود. عده ی زیادی از مردم نسبت به گلوتن حساسیت دارند، که جزء بیماری های خود ایمنی به حساب نمی آید، اما نشانه هایی مثل اسهال و درد شکم، در هر دو مورد مشابه است.
بیماری هانتینگتون یک بیماری عصبی مزمن است. این به آن معنا است. که سلول های عصبی در مغز بیمار در طول زمان تخریب می شوند. بیماری معمولا بین سنین 30 تا 50 شروع می شود، اما می تواند در سنین پایین تر نیز آغاز شود.
ص: 52
هانتینگتون باعث اختلال در حرکت، رفتار، تفکر، ادراک، یادگیری، حافظه و خصوصیات شخصی می شود. شایع ترین نشانه حرکتی که بیمار قادر به مهار آن نیست کره نام دارد. کره باعث حرکات رقص مانند در بیمار می شود. از مشکلات حرکتی دیگر، شامل مشکل در گفتار و راه رفتن است. همچنین ممکن است بیمار علائم دیگری را تجربه شامل:
1) از دست دادن حافظه، اختلال در تمرکز
2) مشکل در انجام کار ها
3) اختلال در کنترل هیجان
4) افسردگی
5) تغییرات خواب
6) اختلال بلع
زمین خوردن در سال های اول امکان دارد تغییرات ذهنی، عاطفی و رفتاری جزئی قبل از علائم فیزیکی آشکار تر بروز کنند.

معمولا سلول های قرمز خون دایره ای شکل هستند و از طریق رگ های خونی کوچک، اکسیژن را به تمام نقاط بدن می رسانند. در افرادی که به بیماری سلول داسی شکل مبتلا هستند، سلول های قرمز خون سخت و چسبنده شده و به شکل c در می آیند و یا به اصطلاح داسی شکل می شوند. سلول های داسی شکل به سرعت از بین می روند و باعث کمبود سلول های قرمز خون می شوند. علاوه بر این وقتی می خواهند از رگ های کوچک عبور کنند گیر می افتند و باعث گرفتگی رگ ها می شوند. این
ص: 53
بیماری می تواند منفجر به درد و مشکلات جدی دیگری از قبیل عفونت، سندرم حاد قفسه سینه و سکته مغزی شود.

عامل بیماری ایدز ویروسی است که به سلول های محافظ بدن، یعنی گلبول های سفید حمله کرده و آن ها را از بین می برد. بنابراین بدن در برابر بیماری های عفونی بسیار ضعیف شده و از همین طریق می میرد.
در لوکمیا برخی سلول های سیستم خون ساز از کنترل خارج می شوند و شروع به تقسیم کنترل نشده می کنند، با بد تر شدن بیماری این سلول ها به بافت های دیگر بدن نیز حمله کرده و عملکرد آن ها را نیز مختل می کنند. پزشکان در حال حاضر، از شیمی درمانی و روش های پرتو دهی برای کنترل این بیماری استفاده می کنند، اما این درمان سایر سلول های طبیعی را نیز می کشد.
بنابراین عوارض جانبی زیادی را به دنبال دارد، اما سلول های بنیادی عملکرد های مختلفی را برای درمان این بیماری دارند. برخی به تقویت کلی سیستم ایمنی (Immune system) در مسیر مشخص می پردازند و برخی دیگر، سبب شناسایی بهتر سلول های سرطانی توسط سیستم ایمنی بدن می شوند.
ص: 54


برای بسیاری از مردم، مبتلا به دیابت نوع یک، که سلول های انسولین ساز لوزالمعده توسط سلول های ایمنی بدن از بین می روند، سلول های بنیادی می تواند یک راه حل باشد. به طوری که دانشمندان توانسته اند سلول های بنیادی جنینی انسان را به سلول های انسولین ساز و تنظیم کننده قند خون در موش های دیابتی، تبدیل کنند. این درمان اکنون در برخی کشور های پیشرفته روی انسان انجام می شود. با توجه به رژیم غذایی نامناسب و عدم فعالیت بدنی کافی، ابتلا به دیابت در سراسر جهان به شدت رو به افزایش است.
ص: 55
بیماری قلبی یکی از مهم ترین بیماری های مرگبار در سراسر جهان است و سلول های بنیادی می تواند در این زمینه به یاری بیماران بیاید. محققان توانسته اند با تزریق سلول های بنیادی، عضله قلب آسیب دیده ناشی از سکته قلبی را ترمیم کنند.
همچنین تزریق سلول های بنیادی موجب ترمیم عروق آسیب دیده قلبی شده است. براساس آمار های جهانی 29 درصد علل مرگ و میر در جهان مربوط به بیماری های قلبی - عروقی است.


سلول های بنیادی به یاری مبتلایان پارکینسون نیز آمده است. این بیماری موجب تحلیل سلول های عصبی، بروز مشکلات حرکتی، گفتاری و سفتی عضلات می شود. مطالعات نشان داده است، که سلول های بنیادی جنینی می توانند موجب افزایش نورون های سازنده دوپامین در بیماران مبتلا به پارکینسون شود، که این ماده شیمیایی
ص: 56
در بدن شان کاهش یافته است.
در این بیماری نیز مانند پارکینسون، سلول های بنیادی جنینی می تواند یک راه حل درمانی باشد. سلول های بنیادی، می تواند در آینده به یک شیوه درمانی موثر برای مبتلایان به آلزایمر تبدیل شود. آلزایمر یکی از بیماری های رایجی است، که در آن فرد قدرت حافظه خود را از دست می دهد.
شیوه های درمانی کنونی می تواند روند پیشرفت بیماری را در افراد کاهش دهد، اما درمان قطعی هنوز برای آن ارائه نشده است. در سال 2010 حدود 35.6 میلیون نفر در سراسر جهان به آزایمر مبتلا بودند و گفته می شود تا سال 2030 این تعداد به 65.7 میلیون نفر برسد.

سلول های بنیادی که از بند ناف گرفته می شوند ویژه هستند. آن ها جوان، قوی و پویا بوده و مطالعات بالینی متعددی در سراسر جهان بر روی آن ها انجام شده است که مناسب بودن این سلول ها در بازسازی بافت آسیب دیده پس از حوادث، کاهش بیماری های استحاله ای مانند دیسک بین مهره ای و درمان سرطان را تایید کرده است.
بسیاری از متخصصان و دانشمندان درباره ی پتانسیل سلول های بنیادی، بر این باورند که این سلول ها نقش بسیار مهمی در درمان بیماری ها تا چند دهه ی آینده
ص: 57
خواهند داشت.

تاکنون از سلول ها و بافت های متعددی مانند سلول بنیادی، سلول های غلاف بویایی (سلول های تولید کننده ی غلاف بر سطح اعصاب بویایی)، سلول های شوآن (سلول های تولید کننده غلاف بر سطح اعصاب) ریشه گانگلیون پشتی، بافت غده ی فوق کلیه و سلول های تراریخته به عنوان منابع سلولی در درمان ضایعات نخاعی، بهره گرفته شده است.
پیوند سلولی بعد از ضایعات نخاعی به چند منظور صورت می گیرد:
1) ایجاد ارتباط میان دو طرف محل ضایعه
2) جایگزین کردن سلول های مرده به منظور ایجاد نورون های جدید
3) فراهم نمودن محیط مناسب در جهت القای باز ترمیمی
از اولین پیشروان استفاده از این سلول ها در مبحث سلول درمانی و ضایعات نخاعی McDonald و همکارانش در سال 1999 بودند. مطالعات آن ها نشان داد، پیوند سلول های بنیادی جنینی موش به موش صحرایی دارای ضایعه نخاعی موجب بهبود عملکردی و رفتاری در موش صحرایی می شود. نتایج بافت شناسی در طی 2 تا 5 هفته بعد نیز تمایز این سلول ها را به آستروسیت، الیگودندروسیت و نورون ها و همچنین مهاجرت آن ها به 8 میلی متر دور تر از ناحیه ضایعه نشان داد. پیش ساز های عصبی برگرفته
ص: 58
از سلول های بنیادی مقادیر قابل توجهی لامینین و فیبر و نکتین تولید می کنند، که هر دو جزء فاکتور های پیش برنده ی بقای سلول عصبی به شمار می روند و در بهبود ضایعه می توانند موثر واقع شوند.
با توجه به نتایج McDonald یکی از مسائل مهم در بحث ضایعات نخاعی، از بین رفتن میلین و متعاقب آن، نقصان عملکرد فیزیولوژیکی و رفتاری سلول های حاضر در سیستم عصبی مرکزی است. بنابراین، میلینه شدن مجدد آکسون های سالم فاقد میلین، نقش ترمیمی مهمی در درمان ضایعات نخاعی محسوب می شود. در همین راستا عده ای معتقد هستند توانایی تمایز سلول های بنیادی جنینی به جمعیت خالصی از پیش ساز های الیگودندروسیتی از اهمیت ویژه ای در کاربرد های کلینیکی برخوردار است.
در حال حاضر نیز از طریق تجویز سلول های بنیادی مزانشیمی مشتق شده از بافت بند ناف، بهبود در بیماران مبتلا به صدمات نخاعی مشاهده شده است و به این ترتیب بهبود بیماری های نخاعی از دیگر کاربرد های سلول های بنیادی می باشد.

یکی از کاربرد های سلول بنیادی، نقش آن ها در بهبود سوختگی و همچنین تسریع بهبود زخم ها می باشد. پوست یک بافت بسیار پیچیده است، که حدود 10 درصد از جرم بدن را به خود اختصاص داده است. به همین علت سوختگی آن عواقب قابل توجهی روی سلامت جسمانی و روانی انسان دارد.
در حال حاضر هیچ پوست مصنوعی وجود ندارد، که کاملا طراحی شده و قابلیت
ص: 59
پیوند روی پوست آسیب دیده را داشته باشد و تنها جراحی مقداری این مشکل را حل کرده که مشکلاتی مانند عدم هم رنگی پوست، جای زخم و دیگر نقص های زیبایی و حتی حرکتی را نیز به دنبال دارد.
درمان ترکیبی با استفاده از سلول های بنیادی و ماتریکس بافت است. منظور از سلول درمانی در درمان سوختگی ها، جایگزین کردن بافت های آسیب دیده با سلول های سالم کشت داده شده در آزمایشگاه است.
سپس این سلول های کشت داده شده بعد از گذشت حدودا 3 تا 5 هفته به نواحی سوخته توسط یک حامل تزریق می شوند و پوششی مانند اپیدرم روی سطح آسیب دیده ایجاد می نمایند. با استفاده از این روش، گرانولاسیون (گوشت اضافی روی محل سوختگی) نیز رخ نخواهد داد.

یکی از رایج ترین شیوه های درمانی با استفاده از سلول های بنیادی، درمان و ترمیم ساییدگی زانو است، که در ایران نیز انجام می شود. این درمان درصد موفقیت بالایی دارد و نیاز بیمار را به پیگیری دیگر شیوه های درمانی از بین می برد.
ص: 60

یکی از بزرگ ترین موانع در توسعه درمان های مبتنی بر سلول برای اختلالات عصبی عضلانی مانند دیستروفی عضلانی دستیابی به سلول های ماهیچه مولد کافی برای تولید یک واکنش موثر درمانی بوده است. اما دانشمندان با حل این مشکل راه را برای درمان دیستروفی عضلانی با استفاده از سلول های بنیادی هموار کرده اند. این شیوه درمانی به زودی به مراکز درمانی ارائه می شود.
ص: 61
1) www.pajoohesh-highschool.blogsky.com
2) www.daneshnameh.roshd.ir
3) www.itn-perfume.eu
4) www.physicaledu.ir
5) www.daneshchi.ir
6) www.isna.ir
7) www.ssu.ac.ir
8) www.movementdisorders.org
9) www.irinn.ir
ص: 62